导航
专家博文
专家疗法
疾病百科
查疾病
查症状
药品说明书
医疗问答
中医药方
医疗资讯
疾病新闻
健康新知
饮食保健
养生保健
专家访谈
健康讲座
最新科研
医改政策
疾病自测
首页 >
专家资讯 >
健康讲座 >
全部
疾病资讯
保健资讯
专家资讯
医药前沿
更多
疾病资讯:
疾病新闻
健康新知
保健资讯:
饮食保健
养生保健
专家资讯:
专家访谈
健康讲座
医药前沿:
最新科研
医改政策
关闭
[6.24]中山二院:“...
中风往往来得让人措手不及,做到早预防、早发现、早治疗很有必要...
2022-11-25
[11.03]广东省妇幼...
母乳是妈妈给宝宝的最好礼物,但是由于新妈妈经验不足,经常...
2022-11-25
[9.24]广东省中医院...
近年来,直肠癌的发病率增高并呈年轻化趋势,每年至少有十万...
2022-11-25
[9.1] 周二:常见疾...
常见疾病的检验指标解读
2022-11-14
[9月1日]三叉神经痛专...
三叉神经痛和面肌痉挛是困扰中老年人的常见疾病,应广大患者要求...
2022-11-14
[9.25]中山三院:患...
强直性脊柱炎患者多见于年轻的男性,这些年轻人都将面对结婚...
2022-11-14
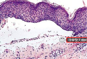
[9.24]中山三院:寻...
天疱疮是一种由自身抗体引起的自身免疫性疾病,对身体健康、...
2022-11-13
[6.26]中山二院举办...
心律失常是一种十分常见的心脏病症,有的无碍健康,有的会导致严...
2022-11-13
[9.2] 周三:产后康...
《产后康复》、《孕期体重管理》。
2022-11-12
[10.14]广东省妇幼...
运动是胎儿生长发育的必由之路。早在怀孕第7周,胎儿就开始...
2022-11-11
共59条
上一页
1
2
3
4
5
6
下一页
CopyRight 2025医疗网站有限公司版权所有亭
ICP备12041784号-1